Bělení zubů

Pokud toužíte po bělejších zubech, nabízíme Vám několik možností. První z nich je domácí bělení zubů, které je vhodné pro zesvětlení barvy zubů. Do individuálně vyrobených nosičů aplikujete bělicí gel a necháte působit. Tento proces opakujete několik dní nebo nocí.
Další možností je kombinované bělení zubů, které je vhodné pro tmavší odstín zubů a pro pacienty, kteří touží po zářivě bílém úsměvu. Kombinované bělení má trvalý výsledek. Jedná se o kombinaci domácího a ordinačního bělení zubů prováděného v ordinaci dentální hygienistky.
Domácí bělení zubů
Cena zahrnuje nosiče + bělicí gely
7 000 Kč
Kombinované bělení
Cena zahrnuje nosiče + bělící gely + bělení v ordinaci
12 000 Kč
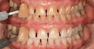
Výsledky naší práce
Zde si můžete prohlédnou, jak vypadá stav chrupu klientů před a po bělení.


Další specializace
Dentální hygiena
Deep scaling
