
Zubní výplně

Bloková sanace kazů II. Kvadrantu (nahoře vlevo)

Výměna selhávajicích výplní na zubech 46 , 47 (dole vpravo)

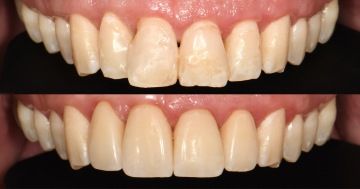
Estetická úprava horních předních zubů

Výměna podkažených starých kompozitních výplní na zubech 36 , 37 (dole vlevo)

Bloková sanace podkažených amalgamových výplní I. Kvadrantu (nahoře vpravo)
Kořenové kanálky

Ošetření kořenových kanálků zubu 24 (nahoře vlevo)

Ošetření kořenových kanálků zubu 16 (nahoře vpravo)
Protetická stomatologie

Rekonstrukce zubu 26 (nahoře vpravo) celokeramickou korunkou

Rekonstrukce zubu 36 (dole vlevo) celokeramickou korunkou

Estetická rekonstrukce horních předních zubů pomocí keramických korunek

Estetická rekonstrukce horních předních zubů keramickými fasetami
Zubní implantáty

Náhrada zubu 25 (nahoře vlevo) zubním implantátem s keramickou korunkou.

Náhrada zubu 36 (dole vlevo) zubním implantátem s keramickou korunkou.
Stomatochirurgie

Chirurgická extrakce zubu 38 (osmička dole vlevo )
Dentální hygiena


Bělení zubů

