Stomatochirurgie

Naši zubaři jsou odborníci v oblasti ústní chirurgie a mají bohaté zkušenosti s řešením široké škály problémů, které mohou postihnout ústní dutinu. Tato specializace zahrnuje jak menší zákroky, jako je extrakce zubů, tak složitější chirurgické výkony, například extrace zubu moudrosti nebo implantace. Naším cílem je poskytnout každému pacientovi takovou péči, která zajistí nejen efektivní odstranění problému, ale také maximální pohodlí během celého procesu.
Při našich zákrocích klademe důraz na využití inovativních postupů a nejmodernějších technologií. To znamená, že používáme špičkové vybavení, které nám umožňuje provádět zákroky s vysokou přesností a minimálním zásahem do okolní tkáně. Díky tomu jsou naše metody nejen efektivní, ale také šetrné – což ocení zejména pacienti, kteří mají obavy z bolesti nebo nepohodlí. Naším hlavním cílem je, aby se každý cítil v naší péči bezpečně a spokojeně.
Výhodou našeho přístupu je také rychlé hojení s minimálním rizikem komplikací. Moderní technologie a odborné znalosti našich zubařů snižují pravděpodobnost problémů, jako je nadměrné krvácení, infekce nebo dlouhotrvající otoky. Díky tomu mohou naši pacienti brzy pokračovat v běžném životě, aniž by byli dlouhodobě omezeni rekonvalescencí.
Pokud hledáte odbornou a zároveň citlivou péči v oblasti ústní chirurgie, můžete se na nás s důvěrou obrátit. Jsme tu, abychom vám pomohli nejen překonat obtíže, ale také se postarali o vaše pohodlí a rychlé uzdravení.
Prostá extrakce zubu
hrazeno ZP
Chirurgická extrakce zubu
od 1 500 Kč
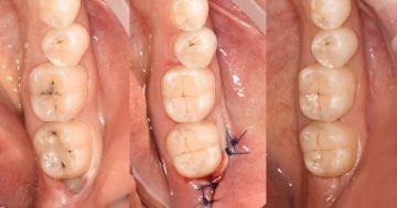
Výsledky naší práce
Zde si můžete prohlédnou, jak vypadal stav chrupu klientů před a po ošetření.

Chirurgická extrakce zubu 38 (osmička dole vlevo)
Další specializace
Zubní výplně
Dentální hygiena
Kořenové kanálky
