Protetická stomatologie

Hlavním cílem protetické stomatologie je obnovit strukturu, funkčnost a estetiku nejen jednotlivých zubů, ale v určitých případech i celého chrupu. V naší nabídce máme širokou škálu variant protetického ošetření. To nám umožňuje přistupovat ke každému případu velmi komplexně a zvolit to nejvhodnější možné řešení.
Jedna z hlavních protetických náhrad je KORUNKA. Tu si lze představit jako umělý plášť, který překrývá zub po celém svém obvodu. Korunkami se dají řešit estetické vady zubů. Můžeme jimi měnit tvar zubu, jeho barvu nebo jeho postavení. Navíc korunka zvýší mechanickou odolnost ošetřeného zubu. Proto je zhotovujeme na rozsáhle poškozené zuby kazem nebo úrazem nebo na zuby, které jsou příliš oslabeny po ošetření kořenových kanálků.
POLOKORUNKY používáme ve chvíli, kdy potřebujeme nahradit zničenou nebo ztracenou část zubu ve chvíli, kdy defekt zubu nelze spolehlivě rekonstruovat konzervativnějším způsobem, jako je například výplň.
MŮSTKY využijí pacienti k náhradě jednoho nebo více chybějících zubů. Můstek vyplňuje mezeru pomocí obroušených zubů, sousedící s mezerou po ztraceném zubu.
FASETY jsou tenké keramické destičky, které nahrazují pouze přední viditelnou plochu zubu. Používají se s cílem modifikovat tvar, barvu a v omezeném rozsahu i postavení zubů, vedoucí ke zlepšení estetiky a harmonie úsměvu pacienta. Keramické fasety mohou být také dobrým řešením pro ty, kteří se chtějí zbavit mezery mezi zuby. Fasety jsou odolné proti zabarvení, nevyžadují invazivní broušení zubů a pokud jsou dobře udělány, jejich životnost je určena na desítky let.
K výrobě protetických náhrad používáme pouze celokeramické materiály! Neobsahují kovová jádra, jsou estetické, biokompatibilní, odolné a velmi přesné.
Keramické náhrady (korunky, fasety)
od 17 500 Kč
Cena zahrnuje celý proces od skenu chrupu, vyhotovení náhrady v laboratoři až po fixaci.
Výsledky naší práce
Zde si můžete prohlédnou, jak vypadal stav chrupu klientů před a po ošetření.

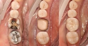
Rekonstrukce zubu 26 (nahoře vpravo) celokeramickou korunkou

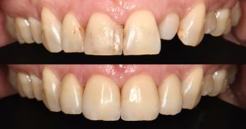
Estetická rekonstrukce horních předních zubů pomocí keramických korunek

Rekonstrukce zubu 36 (dole vlevo) celokeramickou korunkou

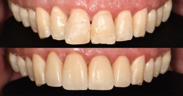
Estetická rekonstrukce horních předních zubů keramickými fasetami
Další specializace
Zubní výplně
Dentální hygiena
Kořenové kanálky
